Atrás

Generan un modelo del síndrome de Netherton utilizando células de piel de donantes sanos modificadas con CRISPR/Cas9

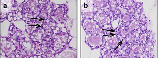
Generan un modelo del síndrome de Netherton utilizando células de piel de donantes sanos modificadas con CRISPR/Cas9

El síndrome de Netherton es una enfermedad monogénica rara de la piel caracterizada por un fenotipo ictiosiforme en ocasiones letal. Un equipo de investigadores coordinado por Fernando Larcher y Marta Carretero desde la U714 CIBERER liderada por Marcela del Río en el CIEMAT, UC3M e IIS-FJD ha desarrollado un modelo de esta enfermedad con el uso de células de piel provenientes de donantes sanos a las que se ha eliminado selectivamente el gen responsable de esta patología, SPINK5, mediante el uso de la tecnología CRISPR/Cas9.


2021

Una propuesta de terapia génica para la anemia de Blackfan Diamond, designada medicamento huérfano

Una propuesta de terapia génica para la anemia de Blackfan Diamond, designada medicamento huérfano. Una propuesta de terapia génica para la anemia de Blackfan Diamond ha sido designada...

El CIEMAT participa en el XVI Congreso de la Sociedad Española de Ciencias del Animal de Laboratorio (SECAL)

El CIEMAT participa en el XVI Congreso de la Sociedad Española de Ciencias del Animal de Laboratorio (SECAL). Dentro de las actividades del XVI Congreso SECAL celebrado en Lérida...

CIEMAT, adjudicatario de un proyecto de la Asociación Española contra el Cáncer

CIEMAT, adjudicatario de un proyecto de la Asociación Española contra el Cáncer. El CIEMAT, ha sido adjudicatarios de uno de los proyectos  Idea Semilla de la Asociación Española...

Científicos del CIEMAT/CIBERONC autores de un trabajo publicado en la revista Cancers

Científicos del CIEMAT/CIBERONC autores de un trabajo publicado en la revista Cancers. Las proteínas RAS son una familia de proteínas encargadas de transmitir al núcleo celular...

La lucha de diamantes, motor de motivación para el proyecto DBAGeneCure del CIEMAT

La lucha de diamantes, motor de motivación para el proyecto DBAGeneCure del CIEMAT. El proyecto europeo DBAGeneCure en el que trabajan el CIEMAT y otras entidades nacionales...

Celebrada la final de FameLab España 2021

Celebrada la final de FameLab España 2021. El pasado viernes 17, con asistencia de la Reina Doña Letizia, se celebró en el Círculo de Bellas Artes de Madrid, la final...

Gran éxito del curso CIBERER sobre edición genómica y terapia génica con CRISPR

Gran éxito del curso CIBERER sobre edición genómica y terapia génica con CRISPR . La cuarta edición del Curso práctico de edición genómica y terapia génica del CIBERER ha...

Investigadora del CIEMAT formará parte del Comité Científico Asesor de la Fanconi Anemia Research Foundation

Investigadora del CIEMAT formará parte del Comité Científico Asesor de la Fanconi Anemia Research Foundation. La Dra. Paula Río, de la Unidad de Innovación Biomédica del CIEMAT ha...

El CIEMAT participa en el 2nd International HCSC-Symposium on Translational Cancer Research

El CIEMAT participa en el 2nd International HCSC-Symposium on Translational Cancer Research . Del 18 al 20 de mayo se celebró, de forma virtual, el 2nd International HCSC-Symposium...

José Bonafont explica el proyecto de edición genómica para la epidermólisis bullosa en el programa radiofónico ‘Enfermedades Raras’

José Bonafont explica el proyecto de edición genómica para la epidermólisis bullosa en el programa radiofónico ‘Enfermedades Raras’. José Bonafont, investigador de la Universidad Carlos...

Nuevos modelos de cáncer de cabeza y cuello en pacientes de Anemia de Fanconi

Nuevos modelos de cáncer de cabeza y cuello en pacientes de Anemia de Fanconi. Los pacientes de anemia de Fanconi tienen un riesgo muy alto de desarrollar carcinoma escamoso de cabeza...

Células mesenquimales, soluciones para mejorar su eficacia

Células mesenquimales, soluciones para mejorar su eficacia. Un artículo de TerCel que aborda los nuevos enfoques para mejorar las propiedades y capacidades funcionales de las CMM tras...

Dos actividades dentro de las V Jornadas CIEMAT de la Mujer y la Niña en la Ciencia: Science Dating y Concurso de relatos cortos

Dos actividades dentro de las V Jornadas CIEMAT de la Mujer y la Niña en la Ciencia: Science Dating y Concurso de relatos cortos. El pasado 10 de febrero tuvo lugar una de las...

Mejoran la eficacia y precisión de la edición genómica para el tratamiento de la epidermólisis bullosa

Mejoran la eficacia y precisión de la edición genómica para el tratamiento de la epidermólisis bullosa. La epidermólisis bullosa o enfermedad de la piel de mariposa se caracteriza...

Un nuevo modelo celular de disqueratosis congénita ayudará a comprender la enfermedad y evaluar nuevas terapias

Un nuevo modelo celular de disqueratosis congénita ayudará a comprender la enfermedad y evaluar nuevas terapias. Un estudio liderado por Guillermo Güenechea, investigador de...

Nuevos logros de la Unidad Mixta de Terapias Avanzadas CIEMAT-FIIS-FJD

Nuevos logros de la Unidad Mixta de Terapias Avanzadas CIEMAT-FIIS-FJD. Como consecuencia de la buena marcha de la colaboración entre el CIEMAT y la Fundación Instituto de...

2020

Buenos resultados clínicos preliminares del primer paciente con deficiencia en piruvato quinasa tratado con terapia génica

Buenos resultados clínicos preliminares del primer paciente con deficiencia en piruvato quinasa tratado con terapia génica Los resultados preliminares positivos del primer paciente...

Un informe divulga los avances y retos de futuro de las terapias génica y celular

Un informe divulga los avances y retos de futuro de las terapias génica y celular Un informe coordinado por Juan Bueren, investigador de la U710 CIBERER en el CIEMAT y...

Juan Bueren participa en el VII Encuentro "En constante evolución" de la Fundación Pfizer

Juan Bueren participa en el VII Encuentro "En constante evolución" de la Fundación Pfizer El pasado 17 de noviembre, en formato online, tuvo lugar el VII Encuentro "En constante...

Primera investigación española sobre los efectos biológicos de la protonterapia y el tratamiento combinado con inmunoterapia

Primera investigación española sobre los efectos biológicos de la protonterapia y el tratamiento combinado con inmunoterapia El CIEMAT y la Clínica Universidad de Navarra ponen en...

Juan Bueren participa en el "Informe Anticipando" de la Fundación Roche sobre enfermedades graves sin tratamiento a día de hoy

Juan Bueren participa en el "Informe Anticipando" de la Fundación Roche sobre enfermedades graves sin tratamiento a día de hoy A finales de julio, la Fundación Instituto Roche presentó...

Desarrollo y validación de un sistema altamente eficaz para modelizar enfermedades raras de piel basado en el sistema CRISPR/Cas9

Desarrollo y validación de un sistema altamente eficaz para modelizar enfermedades raras de piel basado en el sistema CRISPR/Cas9 La evaluación de terapias avanzadas para enfermedades...

Generan un modelo del síndrome de Netherton utilizando células de piel de donantes sanos modificadas con CRISPR/Cas9

Generan un modelo del síndrome de Netherton utilizando células de piel de donantes sanos modificadas con CRISPR/Cas9 El síndrome de Netherton es una enfermedad monogénica rara de la...

Webminario sobre el apoyo de la comunidad científica al diagnóstico en la pandemia COVID-19

Webminario sobre el apoyo de la comunidad científica al diagnóstico en la pandemia COVID-19 El pasado 18 de junio tuvo lugar el Seminario Web "El apoyo de la Comunidad Científica y la...

Investigador del CIEMAT nombrado co-coordinador del Programa de Mecanismos de Progresión Tumoral

Investigador del CIEMAT nombrado co-coordinador del Programa de Mecanismos de Progresión Tumoral Jesús M. Paramio, responsable de la Unidad de Oncología Molecular del Departamento de...

Un producto que combina edición genómica y bioingeniería tisular, designado medicamento huérfano para la piel de mariposa

Un producto que combina edición genómica y bioingeniería tisular, designado medicamento huérfano para la piel de mariposa. La epidermólisis bullosa distrófica recesiva, conocida...

Un producto de terapias avanzadas que combina edición genómica y bioingeniería tisular, designado medicamento huérfano para la piel de mariposa

Un producto de terapias avanzadas que combina edición genómica y bioingeniería tisular, designado medicamento huérfano para la piel de mariposa Un producto de bioingeniería tisular...

DEBRA Piel de Mariposa dona 32.000 euros para la investigación del CIBERER en esta enfermedad

DEBRA Piel de Mariposa dona 32.000 euros para la investigación del CIBERER en esta enfermedad La ONG DEBRA Piel de Mariposa ha contribuido con 32.000 euros a la financiación...

Una investigadora del CIEMAT forma parte de las 11 jóvenes científicas CIBER, destacadas con motivo del 11Feb

Una investigadora del CIEMAT forma parte de las 11 jóvenes científicas CIBER, destacadas con motivo del 11Feb En 2015 la Asamblea General de las Naciones Unidas proclamó el 11 de...

Un proyecto de terapia génica para la trombastenia de Glanzmann, dotado con 50.000 euros de la EAHAD

Un proyecto de terapia génica para la trombastenia de Glanzmann, dotado con 50.000 euros de la EAHAD La Sociedad Europea de Hemofilia y Trastornos Relacionados (EAHAD en sus siglas en...

El CIEMAT/CIBERONC y el Instituto de Investigación i+12 describen el papel de la proteína IKKB en la formación de tumores odontogénicos

El CIEMAT/CIBERONC y el Instituto de Investigación i+12 describen el papel de la proteína IKKB en la formación de tumores odontogénicos Personal investigador de la Unidad de Oncología...

Renovación de la Unidad Mixta UC3M-CIEMAT en Ingeniería Biomédica

Renovación de la Unidad Mixta UC3M-CIEMAT en Ingeniería Biomédica Prosiguiendo su colaboración en I+D+i, la Universidad Carlos III de Madrid (UC3M) y el CIEMAT han renovado su plan...

2019

Primeros resultados de éxito en la terapia génica de un paciente con la inmunodeficiencia LAD-I

Primeros resultados de éxito en la terapia génica de un paciente con la inmunodeficiencia LAD-I Un ensayo clínico de terapia génica para la deficiencia de adhesión leucocitaria tipo I...

Un proyecto en el que participa el CIEMAT, seleccionado por el programa Health Start de la Fundación Madri+d

Un proyecto en el que participa el CIEMAT, seleccionado por el programa Health Start de la Fundación Madri+d La Fundación para el conocimiento Madri+d lleva a cabo este año su tercera...

Premios de investigación al CIEMAT durante el Congreso de las Sociedades Europea y Española de Terapia Génica y Celular

Premios de investigación al CIEMAT durante el Congreso de las Sociedades Europea y Española de Terapia Génica y Celular Durante el Congreso de la Sociedades Europea y Española de...

Paula Río, Premio al Investigador Joven del Congreso de la Sociedad Europea de Terapia Génica y Celular

Paula Río, Premio al Investigador Joven del Congreso de la Sociedad Europea de Terapia Génica y Celular Paula Río, investigadora de la U710 CIBERER que lidera Juan Bueren en...

Desarrollo de dos modelos de cáncer de pulmón de mal pronóstico y pocas opciones terapéuticas

Desarrollo de dos modelos de cáncer de pulmón de mal pronóstico y pocas opciones terapéuticas Los trabajos de investigación que han llevado al desarrollo de estos modelos se han...

Certificación del Laboratorio de citometría y separación celular del CIEMAT según los requisitos de la norma UNE-EN ISO 9001:2015

Certificación del Laboratorio de citometría y separación celular del CIEMAT según los requisitos de la norma UNE-EN ISO 9001:2015 El Laboratorio de Citometría y Separación Celular...

Un ensayo clínico de terapia génica para pacientes con anemia de Fanconi ofrece sus primeros resultados de éxito

Un ensayo clínico de terapia génica para pacientes con anemia de Fanconi ofrece sus primeros resultados de éxito Es la primera demostración clínica de injerto y expansión de células...

3er Foro de pacientes con PKD

3er Foro de pacientes con PKD El próximo día 29 de mayo se celebrará en el Hospital Infantil Universitario Niño Jesús de Madrid el 3er Foro de pacientes con Deficiencia en Piruvato...

2ª Jornada del proyecto "Mujeres en la ciencia"

2ª Jornada del proyecto "Mujeres en la ciencia" El pasado 30 de abril tuvo lugar en el salón de actos del CIEMAT la 2ª Jornada del proyecto “Mujeres en la ciencia”. Con este proyecto...

Visita y prácticas de alumnos de la UCM al Servicio de Animalario del CIEMAT

Visita y prácticas de alumnos de la UCM al Servicio de Animalario del CIEMAT El pasado 5 de abril, un grupo de alumnos de la Facultad de Biología de...

Edición genómica para la epidermólisis bullosa: un poco más cerca de la clínica

Edición genómica para la epidermólisis bullosa: un poco más cerca de la clínica La epidermólisis bullosa distrófica recesiva o piel de mariposa es una enfermedad rara de fragilidad...