2022

VI CIEMAT Conference on Women and Girls in Science

VI CIEMAT Conference on Women and Girls in Science. The VI CIEMAT Conference on Women and Girls in Science, held between February and March 2022, has once again been face-to-face,...

Immunotherapy, a possible therapeutic option in the treatment of epithelial ovarian cancer

Immunotherapy, a possible therapeutic option in the treatment of epithelial ovarian cancer A study led by CIBERONC researchers at CIEMAT and the 12 de Octubre University Hospital...

2021

A proposed gene therapy for Blackfan Diamond anemia, designated Orphan Drug

A proposed gene therapy for Blackfan Diamond anemia, designated Orphan Drug. A proposed gene therapy for Blackfan Diamond anemia has been designated as an orphan drug by the European...

CIEMAT participates in the XVI Congress of the Spanish Society of Laboratory Animal Sciences (SECAL)

CIEMAT participates in the XVI Congress of the Spanish Society of Laboratory Animal Sciences (SECAL). Within the activities of the XVI SECAL Congress held in Lérida from November...

CIEMAT, awarded a project by the Spanish Association against Cancer

CIEMAT, awarded a project by the Spanish Association against Cancer . CIEMAT has been awarded one of the Idea Seed projects of the Spanish Association Against Cancer (AECC). The purpose...

CIEMAT / CIBERONC scientists authors of a work published in the journal Cancers

CIEMAT / CIBERONC scientists authors of a work published in the journal Cancers . RAS proteins are a family of proteins responsible for transmitting the signals that cells receive from...

The fight for diamonds, motivation engine for CIEMAT's DBAGeneCure project

The fight for diamonds, motivation engine for CIEMAT's DBAGeneCure project. The European DBAGeneCure project in which CIEMAT and other national and international entities are working,...

The final of FameLab Spain 2021 celebrated

The final of FameLab Spain 2021 celebrated . Last Friday 17th, with the assistance of Queen Letizia, the final of FameLab Spain 2021 was held at the Círculo de Bellas Artes in...

Great success of the CIBERER course on genomic editing and gene therapy with CRISPR

Great success of the CIBERER course on genomic editing and gene therapy with CRISPR. The fourth edition of the CIBERER Genomic Editing and Gene Therapy Practical Course has offered an...

CIEMAT researcher will be part of the Scientific Advisory Committee of the Fanconi Anemia Research Foundation

CIEMAT researcher will be part of the Scientific Advisory Committee of the Fanconi Anemia Research Foundation. Dr. Paula Río, from the CIEMAT Biomedical Innovation Unit has been...

CIEMAT participates in the 2nd International HCSC-Symposium on Translational Cancer Research

CIEMAT participates in the 2nd International HCSC-Symposium on Translational Cancer Research. From May 18 to 20, the 2nd International HCSC-Symposium on Translational Cancer Research...

José Bonafont explains the genomic editing project for epidermolysis bullosa in the radio program ‘Rare Diseases’

José Bonafont explains the genomic editing project for epidermolysis bullosa in the radio program ‘Rare Diseases’. José Bonafont, researcher at the Carlos III University of Madrid...

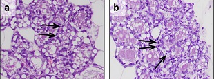
New models of head and neck cancer in Fanconi Anemia patients

New models of head and neck cancer in Fanconi Anemia patients. Fanconi anemia patients are at very high risk of developing squamous cell carcinoma of the head and neck (SCC and C). In...

Mesenchymal cells, solutions to improve their efficiency

Mesenchymal cells, solutions to improve their efficiency. An article by TerCel that addresses new approaches to improve the properties and functional capacities of MSCs following...

Two activities within the V CIEMAT Conference on Women and Girls in Science: Science Dating and Short Story Contest

Two activities within the V CIEMAT Conference on Women and Girls in Science: Science Dating and Short Story Contest. On February 10, one of the activities organized within the...

Improve the efficiency and accuracy of genomics edition for the treatment of epidermolysis bullosa

Improve the efficiency and accuracy of genomics edition for the treatment of epidermolysis bullosa. Epidermolysis bullosa or butterfly skin disease is characterized by extreme skin...

A new cellular model of dyskeratosis congenita will help to understand the disease and evaluate new therapies.

A new cellular model of dyskeratosis congenita will help to understand the disease and evaluate new therapies. A study led by Guillermo Güenechea, researcher at the U710 CIBERER at...

New achievements of the CIEMAT-FIIS-FJD Mixed Unit for Advanced Therapies

New achievements of the CIEMAT-FIIS-FJD Mixed Unit for Advanced Therapies. As a consequence of the good progress of the collaboration between CIEMAT and the Fundación Instituto de...

2020

Buenos resultados clínicos preliminares del primer paciente con deficiencia en piruvato quinasa tratado con terapia génica

Buenos resultados clínicos preliminares del primer paciente con deficiencia en piruvato quinasa tratado con terapia génica Los resultados preliminares positivos del primer paciente...

Un informe divulga los avances y retos de futuro de las terapias génica y celular

Un informe divulga los avances y retos de futuro de las terapias génica y celular Un informe coordinado por Juan Bueren, investigador de la U710 CIBERER en el CIEMAT y...

Juan Bueren participa en el VII Encuentro "En constante evolución" de la Fundación Pfizer

Juan Bueren participa en el VII Encuentro "En constante evolución" de la Fundación Pfizer El pasado 17 de noviembre, en formato online, tuvo lugar el VII Encuentro "En constante...

Primera investigación española sobre los efectos biológicos de la protonterapia y el tratamiento combinado con inmunoterapia

Primera investigación española sobre los efectos biológicos de la protonterapia y el tratamiento combinado con inmunoterapia El CIEMAT y la Clínica Universidad de Navarra ponen en...

Juan Bueren participa en el "Informe Anticipando" de la Fundación Roche sobre enfermedades graves sin tratamiento a día de hoy

Juan Bueren participa en el "Informe Anticipando" de la Fundación Roche sobre enfermedades graves sin tratamiento a día de hoy A finales de julio, la Fundación Instituto Roche presentó...

Desarrollo y validación de un sistema altamente eficaz para modelizar enfermedades raras de piel basado en el sistema CRISPR/Cas9

Desarrollo y validación de un sistema altamente eficaz para modelizar enfermedades raras de piel basado en el sistema CRISPR/Cas9 La evaluación de terapias avanzadas para enfermedades...

Generan un modelo del síndrome de Netherton utilizando células de piel de donantes sanos modificadas con CRISPR/Cas9

Generan un modelo del síndrome de Netherton utilizando células de piel de donantes sanos modificadas con CRISPR/Cas9 El síndrome de Netherton es una enfermedad monogénica rara de la...

Webminario sobre el apoyo de la comunidad científica al diagnóstico en la pandemia COVID-19

Webminario sobre el apoyo de la comunidad científica al diagnóstico en la pandemia COVID-19 El pasado 18 de junio tuvo lugar el Seminario Web "El apoyo de la Comunidad Científica y la...

Investigador del CIEMAT nombrado co-coordinador del Programa de Mecanismos de Progresión Tumoral

Investigador del CIEMAT nombrado co-coordinador del Programa de Mecanismos de Progresión Tumoral Jesús M. Paramio, responsable de la Unidad de Oncología Molecular del Departamento de...

Un producto que combina edición genómica y bioingeniería tisular, designado medicamento huérfano para la piel de mariposa

Un producto que combina edición genómica y bioingeniería tisular, designado medicamento huérfano para la piel de mariposa. La epidermólisis bullosa distrófica recesiva, conocida...

Un producto de terapias avanzadas que combina edición genómica y bioingeniería tisular, designado medicamento huérfano para la piel de mariposa

Un producto de terapias avanzadas que combina edición genómica y bioingeniería tisular, designado medicamento huérfano para la piel de mariposa Un producto de bioingeniería tisular...

DEBRA Piel de Mariposa dona 32.000 euros para la investigación del CIBERER en esta enfermedad

DEBRA Piel de Mariposa dona 32.000 euros para la investigación del CIBERER en esta enfermedad La ONG DEBRA Piel de Mariposa ha contribuido con 32.000 euros a la financiación...

Una investigadora del CIEMAT forma parte de las 11 jóvenes científicas CIBER, destacadas con motivo del 11Feb

Una investigadora del CIEMAT forma parte de las 11 jóvenes científicas CIBER, destacadas con motivo del 11Feb En 2015 la Asamblea General de las Naciones Unidas proclamó el 11 de...

Un proyecto de terapia génica para la trombastenia de Glanzmann, dotado con 50.000 euros de la EAHAD

Un proyecto de terapia génica para la trombastenia de Glanzmann, dotado con 50.000 euros de la EAHAD La Sociedad Europea de Hemofilia y Trastornos Relacionados (EAHAD en sus siglas en...

El CIEMAT/CIBERONC y el Instituto de Investigación i+12 describen el papel de la proteína IKKB en la formación de tumores odontogénicos

El CIEMAT/CIBERONC y el Instituto de Investigación i+12 describen el papel de la proteína IKKB en la formación de tumores odontogénicos Personal investigador de la Unidad de Oncología...

Renovación de la Unidad Mixta UC3M-CIEMAT en Ingeniería Biomédica

Renovación de la Unidad Mixta UC3M-CIEMAT en Ingeniería Biomédica Prosiguiendo su colaboración en I+D+i, la Universidad Carlos III de Madrid (UC3M) y el CIEMAT han renovado su plan...

2019

Primeros resultados de éxito en la terapia génica de un paciente con la inmunodeficiencia LAD-I

Primeros resultados de éxito en la terapia génica de un paciente con la inmunodeficiencia LAD-I Un ensayo clínico de terapia génica para la deficiencia de adhesión leucocitaria tipo I...

Un proyecto en el que participa el CIEMAT, seleccionado por el programa Health Start de la Fundación Madri+d

Un proyecto en el que participa el CIEMAT, seleccionado por el programa Health Start de la Fundación Madri+d La Fundación para el conocimiento Madri+d lleva a cabo este año su tercera...

Premios de investigación al CIEMAT durante el Congreso de las Sociedades Europea y Española de Terapia Génica y Celular

Premios de investigación al CIEMAT durante el Congreso de las Sociedades Europea y Española de Terapia Génica y Celular Durante el Congreso de la Sociedades Europea y Española de...

Paula Río, Premio al Investigador Joven del Congreso de la Sociedad Europea de Terapia Génica y Celular

Paula Río, Premio al Investigador Joven del Congreso de la Sociedad Europea de Terapia Génica y Celular Paula Río, investigadora de la U710 CIBERER que lidera Juan Bueren en...

Desarrollo de dos modelos de cáncer de pulmón de mal pronóstico y pocas opciones terapéuticas

Desarrollo de dos modelos de cáncer de pulmón de mal pronóstico y pocas opciones terapéuticas Los trabajos de investigación que han llevado al desarrollo de estos modelos se han...

Certificación del Laboratorio de citometría y separación celular del CIEMAT según los requisitos de la norma UNE-EN ISO 9001:2015

Certificación del Laboratorio de citometría y separación celular del CIEMAT según los requisitos de la norma UNE-EN ISO 9001:2015 El Laboratorio de Citometría y Separación Celular...

Un ensayo clínico de terapia génica para pacientes con anemia de Fanconi ofrece sus primeros resultados de éxito

Un ensayo clínico de terapia génica para pacientes con anemia de Fanconi ofrece sus primeros resultados de éxito Es la primera demostración clínica de injerto y expansión de células...

3er Foro de pacientes con PKD

3er Foro de pacientes con PKD El próximo día 29 de mayo se celebrará en el Hospital Infantil Universitario Niño Jesús de Madrid el 3er Foro de pacientes con Deficiencia en Piruvato...

2ª Jornada del proyecto "Mujeres en la ciencia"

2ª Jornada del proyecto "Mujeres en la ciencia" El pasado 30 de abril tuvo lugar en el salón de actos del CIEMAT la 2ª Jornada del proyecto “Mujeres en la ciencia”. Con este proyecto...

Visita y prácticas de alumnos de la UCM al Servicio de Animalario del CIEMAT

Visita y prácticas de alumnos de la UCM al Servicio de Animalario del CIEMAT El pasado 5 de abril, un grupo de alumnos de la Facultad de Biología de...

Edición genómica para la epidermólisis bullosa: un poco más cerca de la clínica

Edición genómica para la epidermólisis bullosa: un poco más cerca de la clínica La epidermólisis bullosa distrófica recesiva o piel de mariposa es una enfermedad rara de fragilidad...